Пациент с травмой зуба на приеме у врача-ортодонта
Травма зуба в детском возрасте — одна из наиболее частых причин экстренного обращения к стоматологу.
Согласно статистике, около 40% детей до 6 лет сталкиваются с повреждениями зубов. Основная группа риска — верхние резцы, так как они первыми принимают на себя удар при падениях или столкновениях.
Если произошла травма зуба, главное правило — как можно быстрее обратиться к врачу. Скорость помощи напрямую влияет на возможность сохранения зуба.
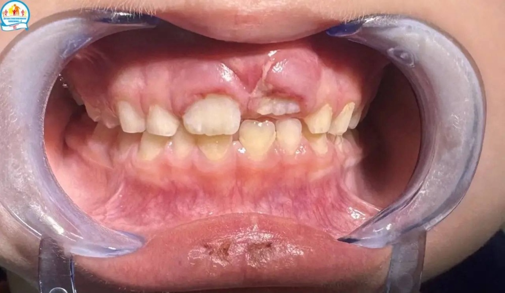
В Детскую стоматологическую поликлинику №3 г. Уфа обратился пациент с травмой зуба. Ему была оказана помощь:
- рентген-диагностика поврежденного участка
- фиксация «шины» врачом-ортодонтом Земфирой Бурановой
- даны рекомендации сопровождающему родителю
Пациент взят под наблюдение
Согласно статистике, около 40% детей до 6 лет сталкиваются с повреждениями зубов. Основная группа риска — верхние резцы, так как они первыми принимают на себя удар при падениях или столкновениях.
Если произошла травма зуба, главное правило — как можно быстрее обратиться к врачу. Скорость помощи напрямую влияет на возможность сохранения зуба.
В Детскую стоматологическую поликлинику №3 г. Уфа обратился пациент с травмой зуба. Ему была оказана помощь:
- рентген-диагностика поврежденного участка
- фиксация «шины» врачом-ортодонтом Земфирой Бурановой
- даны рекомендации сопровождающему родителю
Пациент взят под наблюдение
Галерея
Возврат к списку





